Yesterday we had our first MFM appointment. It consisted of an Ultrasound, meeting with the doctor who delivered Alden, then finally we rounded out the appointment with lab work.
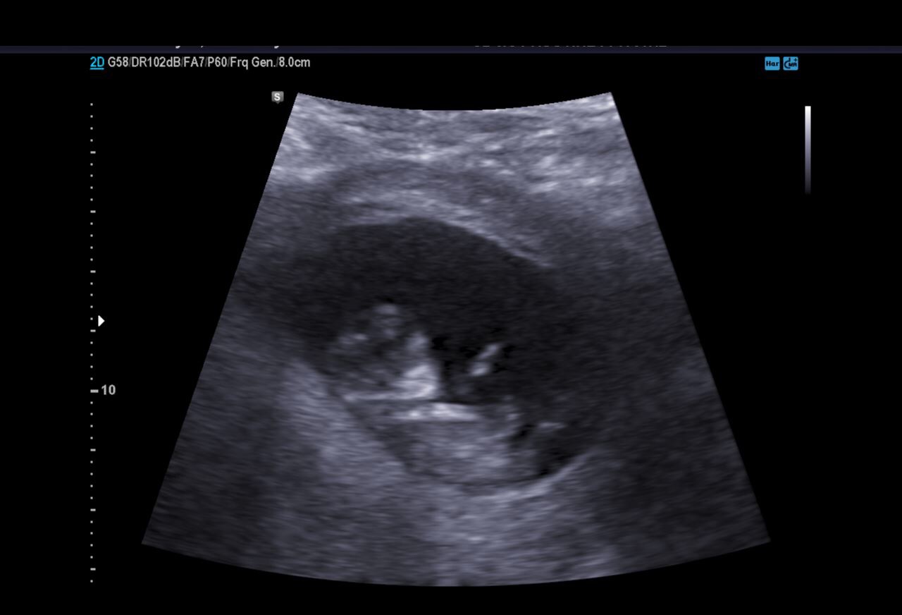
Our ultrasound looked great; little babe was just hanging out in there. Toward the end of the scan, baby started to move and we were able to get a few good photos where you can actually see the baby’s arms and legs.

I am still very much in shock that this is our life again, but seeing baby dancing around in there helped to hammer home the fact I think. They said everything looked good, and that we were measuring right on track. They said our due date was 3.23.18, with delivery at 37 weeks that will put our due date around 3.2.18.
When we met with the doctor, we also got to see a lot of the nurses who helped us during Alden’s pregnancy and they were so happy for us. I loved the nursing staff there, and I could never say enough nice things about them. When Dr. Frey came in we talked about my history and she used Kenley’s name when talking to me. I loved that so much. I remember crying to her many many many times about how sad I was, and how I NEEDED Alden to survive. She is the greatest Dr and I am so thankful she puts up with my crazy.
She agreed to pretty much mimic Alden’s pregnancy plan. Ultrasounds as normal, early monitoring for preeclampsia, and gestational diabetes, level 2 anatomy scan, bi-weekly NST’s starting at 32 weeks, lovenox injections daily for the duration of the pregnancy, and delivery at 37 weeks.
She sent me to the lab and I had 11 vials of blood drawn…Yuck. We did a bunch of standard testing, a1c, and the genetic testing which will also tell us the sex of the baby. A lot of the results have come back already, and they are all normal! I didn’t expect anything to be wrong, but…you just never know. So hopefully next week sometime (maybe…depending because Labor day is a holiday so we may not hear till the following Monday) we will know if the baby is genetically normal, and also the sex of the baby.
Tomorrow we are 11 weeks.
My mind is just blown still.
I hope I can handle this again.